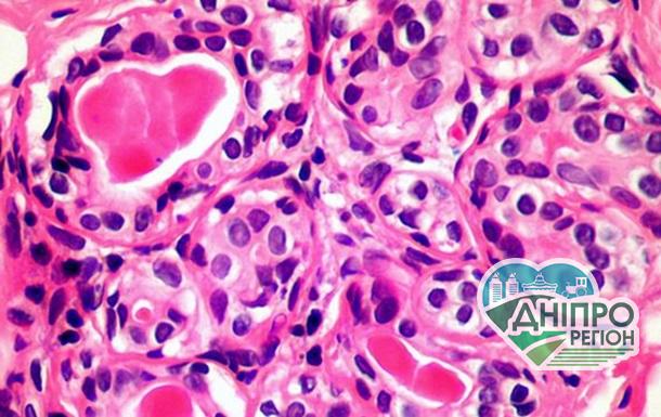
У британському Університеті Кардіффа вчені виявили нову імунну клітину, здатну вбити всі види онкологічних пухлин. Про це повідомляє Корреспондент з посиланням на BBC.
Фахівці відкрили новий вид Т-клітин. Вони відповідають за імунну реакцію в організмі і здатні боротися з різними видами загроз, зокрема при раку.
Вчені зазначають, що є ймовірність, що це відкриття допоможе вилікувати всіх онкохворих.
Нові Т-клітини знищують ракові клітини, не завдаючи шкоди здоров’ю. Учені поки не змогли дізнатися, як Т-клітина відрізняє здорові клітини від ракових.
